お子様の矯正治療―反対咬合(かみ合わせが逆のこと)

-
主訴前歯のかみ合わせが逆
-
年齢6才8か月 男子
-
治療方法Ⅰ期治療として歯列矯正用咬合誘導装置(プレオルソ)、リンガルアーチ、マルチブラケット装置
-
抜歯なし
-
動的治療期間プレオルソ2年、リンガルアーチ1年、マルチブラケット装置1年
-
通院頻度月1回〜3か月に1回
-
費用(税込)初診料0円、精密検査料49,500円、基本矯正治療費462,000円(Ⅰ期治療費330,000+プレオルソ33,000+リンガルアーチ22,000+上顎のみ金属ブラケット44,000+保定装置33,000)、調整料5500円x24回、保定期間中3,300円x8回
-
メリットバランスの取れた顔と顎の骨の発育、前歯で食べ物をかみ切ることができる。
-
リスク治療中のカリエスリスクが高くなること
お子様の矯正治療―叢生(歯がガタガタしていること)

-
主訴下の前歯の歯並び
-
年齢8才1か月 男子
-
治療方法Ⅰ期治療として上顎:バイトプレート付き拡大床、マルチブラケット装置、下顎:拡大床、マルチブラケット装置
-
抜歯なし
-
動的治療期間3年
-
通院頻度月1回
-
費用
(税込・当時)初診料0円、精密検査料49,500円、基本矯正治療費495,000円(Ⅰ期治療費330,000+拡大床上下44,000+上下顎前歯のみクリアブラケット55,000+上下顎保定装置66,000)円、調整料
5,500円x36回、保定期間中3,300円x8回 -
メリットバランスの取れた顔と顎の骨の発育
-
リスク治療中のカリエスリスクが高くなること。
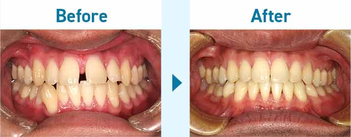
大人の矯正治療-空隙歯列と叢生(すきっ歯とでこぼこ)

-
主訴前歯のすきま
-
年齢21歳5か月 男性
-
治療方法下顎のみ第一小臼歯抜歯後、マルチブラケット装置使用
-
抜歯下顎のみ第一小臼歯抜歯(上顎は子供の頃2本永久歯を抜歯済)
-
動的治療期間3年
-
通院頻度月1回
-
費用
(税込・当時)初診料0円、精密検査料49,500円、基本矯正治療費891,000 (全体治療費715,000+クリアブラケット代110,000+保定装置代66,000)円、調整料5,500円x36回、保定期間中3,300円x8回 -
メリット良いかみ合わせと綺麗な歯並び
-
リスク治療中、カリエスや歯周病のリスクが高まること。
大人の矯正治療―叢生(でこぼこ)

-
主訴八重歯
-
年齢16歳5か月 女性
-
治療方法上下顎第一小臼歯抜歯後、マルチブラケット装置使用
-
抜歯上下顎第一小臼歯抜歯
-
動的治療期間2年8か月
-
通院頻度月1回
-
費用
(税込・当時)初診料0円、精密検査料49,500円、基本矯正治療費891,000 (全体治療費715,000+クリアブラケット代110,000+保定装置代66,000)円、調整料5,500円x36回、保定期間中3,300円x8回 -
メリット良いかみ合わせと綺麗な歯並び、口元の改善
-
リスク治療中、カリエスや歯周病のリスクが高まること。