トップページ
当院について
院長・スタッフ紹介
院内ツアー
設備・機器
診療案内
むし歯治療
歯周病治療
歯周病の治療方法
治療の流れ
歯周外科治療
重度の歯周病
ブルーラジカル
精密根管治療(歯内療法)
自費と保険の根管治療の違い
外科的歯内療法
メタルフリー治療
クラウン・ブリッジ
審美歯科
審美歯科
審美歯科の治療方法
インプラント治療
インプラント治療
インプラントを長持ちさせる条件
治療の流れ
骨造成法の種類
義歯(入れ歯)
義歯(入れ歯)
義歯(入れ歯)の種類
保険と自費の違い
インプラント義歯
コラム 老後と義歯
コラム 良い入れ歯の条件とは
矯正歯科
矯正歯科
シュアスマイル
ホワイトニング
フルマウス治療
口腔外科
定期健診(予防歯科)
症例
矯正歯科の症例
インプラントの症例
義歯(入れ歯)の症例
ホワイトニング症例
料金
ブルーラジカル
交通アクセス
医院概要
診療メニュー
ホワイトニング症例
鵠沼アルカディア歯科 湘南藤沢インプラントクリニック
>
診療案内
>
ホワイトニング
>
ホワイトニング症例
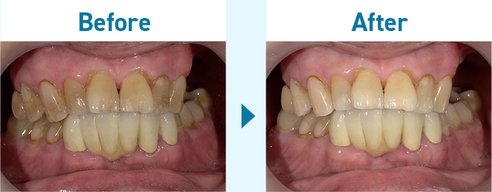
症例01
主訴
歯を白くしたい
治療内容
オフィスホワイトニング
治療期間
約2週間
費用(税込)
75,170円
リスク・副作用
知覚過敏、時間経過と共に再色素沈着による後戻り
お知らせ
2025年8月28日
休診曜日変更のお知らせ(2025年9月~)
2025年7月29日
お盆休みのご案内
2025年5月28日
休診日変更のお知らせ(2025年6月~)
ニュース一覧はこちら